45+ pages 4 main regulatory functions of cno 1.7mb. Their goal is to maintain patient safety and improve patient outcomes. Standards apply to all nurses regardless of their role job description or area of practice. Segregating regulatory inspection work from the role of allocating regulatory work assigning regulators to work in pairs when they are conducting fieldwork scheduling inspections so regulators cannot choose the inspection targets and dates. Read also regulatory and learn more manual guide in 4 main regulatory functions of cno 105 Articulates the role of.
The CNO cycle is hypothesized to be dominant in stars that are more than 13 times as massive as the Sun. Articulating and promoting practice standards.

Collaboration For Safe Nurse Staffing Cnos And Cfos
| Title: Collaboration For Safe Nurse Staffing Cnos And Cfos |
| Format: PDF |
| Number of Pages: 324 pages 4 Main Regulatory Functions Of Cno |
| Publication Date: September 2021 |
| File Size: 1.2mb |
| Read Collaboration For Safe Nurse Staffing Cnos And Cfos |
The ethical principles that nurses must adhere to are the principles of justice beneficence nonmaleficence.

Knowledge The overall management and supervision of nursing staff is usually the responsibility of the CNO. Establishing requirements for entry to practice. View Notes - NSE-12-Exam-reviewdocx from NSE 12 at Ryerson University. Enforcing standards of practice and conduct. 1 C hief N etworking O fficer The executive responsible for the development and maintenance of internal and external communications networks. Regulation Legislation By-Laws.

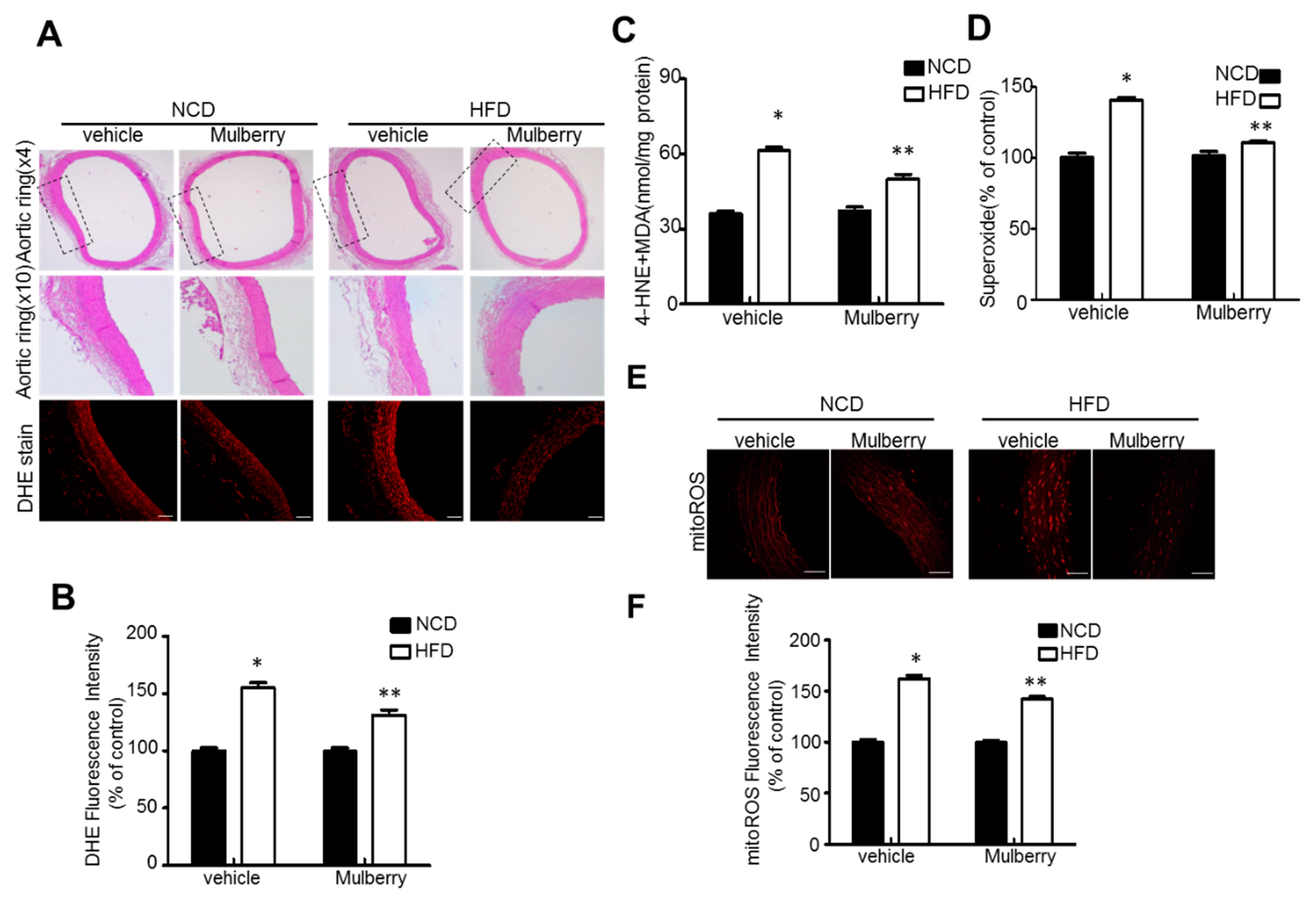
Nutrients Free Full Text Mulberry Extract Attenuates Endothelial Dysfunction Through The Regulation Of Uncoupling Endothelial Nitric Oxide Synthase In High Fat Diet Rats Html
| Title: Nutrients Free Full Text Mulberry Extract Attenuates Endothelial Dysfunction Through The Regulation Of Uncoupling Endothelial Nitric Oxide Synthase In High Fat Diet Rats Html |
| Format: eBook |
| Number of Pages: 223 pages 4 Main Regulatory Functions Of Cno |
| Publication Date: April 2021 |
| File Size: 2.6mb |
| Read Nutrients Free Full Text Mulberry Extract Attenuates Endothelial Dysfunction Through The Regulation Of Uncoupling Endothelial Nitric Oxide Synthase In High Fat Diet Rats Html |

On All Academic Assignments Found Here
| Title: On All Academic Assignments Found Here |
| Format: PDF |
| Number of Pages: 320 pages 4 Main Regulatory Functions Of Cno |
| Publication Date: November 2021 |
| File Size: 1.1mb |
| Read On All Academic Assignments Found Here |

Brs3 Neurons In The Mouse Dorsomedial Hypothalamus Regulate Body Temperature Energy Expenditure And Heart Rate But Not Food Intake Nature Neuroscience
| Title: Brs3 Neurons In The Mouse Dorsomedial Hypothalamus Regulate Body Temperature Energy Expenditure And Heart Rate But Not Food Intake Nature Neuroscience |
| Format: eBook |
| Number of Pages: 290 pages 4 Main Regulatory Functions Of Cno |
| Publication Date: October 2018 |
| File Size: 2.3mb |
| Read Brs3 Neurons In The Mouse Dorsomedial Hypothalamus Regulate Body Temperature Energy Expenditure And Heart Rate But Not Food Intake Nature Neuroscience |

Microglia Modulate Stable Wakefulness Via The Thalamic Reticular Nucleus In Mice Nature Munications
| Title: Microglia Modulate Stable Wakefulness Via The Thalamic Reticular Nucleus In Mice Nature Munications |
| Format: eBook |
| Number of Pages: 300 pages 4 Main Regulatory Functions Of Cno |
| Publication Date: October 2020 |
| File Size: 1.2mb |
| Read Microglia Modulate Stable Wakefulness Via The Thalamic Reticular Nucleus In Mice Nature Munications |

The Financial Landscape And The Implications For Nursing Nurse Leader
| Title: The Financial Landscape And The Implications For Nursing Nurse Leader |
| Format: ePub Book |
| Number of Pages: 164 pages 4 Main Regulatory Functions Of Cno |
| Publication Date: April 2017 |
| File Size: 2.3mb |
| Read The Financial Landscape And The Implications For Nursing Nurse Leader |

Cerebellum Regulates The Timing Of Periaqueductal Grey Neural Encoding Of Fear Memory And The Expression Of Fear Conditioned Behaviours Biorxiv
| Title: Cerebellum Regulates The Timing Of Periaqueductal Grey Neural Encoding Of Fear Memory And The Expression Of Fear Conditioned Behaviours Biorxiv |
| Format: PDF |
| Number of Pages: 272 pages 4 Main Regulatory Functions Of Cno |
| Publication Date: July 2018 |
| File Size: 1.4mb |
| Read Cerebellum Regulates The Timing Of Periaqueductal Grey Neural Encoding Of Fear Memory And The Expression Of Fear Conditioned Behaviours Biorxiv |

Vp Medical Affairs Resume Vp Clinical Affairs Resume Executive Resume Resume Writer Resume Writing Services
| Title: Vp Medical Affairs Resume Vp Clinical Affairs Resume Executive Resume Resume Writer Resume Writing Services |
| Format: eBook |
| Number of Pages: 195 pages 4 Main Regulatory Functions Of Cno |
| Publication Date: March 2021 |
| File Size: 1.1mb |
| Read Vp Medical Affairs Resume Vp Clinical Affairs Resume Executive Resume Resume Writer Resume Writing Services |

On All Academic Assignments Found Here
| Title: On All Academic Assignments Found Here |
| Format: PDF |
| Number of Pages: 172 pages 4 Main Regulatory Functions Of Cno |
| Publication Date: May 2021 |
| File Size: 2.3mb |
| Read On All Academic Assignments Found Here |
S Myrnao Ca Sites Default Files Related Documents Transforming 20long Term 20care 20to 20keep 20residents 20 Pdf
| Title: S Myrnao Ca Sites Default Files Related Documents Transforming 20long Term 20care 20to 20keep 20residents 20 Pdf |
| Format: ePub Book |
| Number of Pages: 308 pages 4 Main Regulatory Functions Of Cno |
| Publication Date: June 2017 |
| File Size: 2.1mb |
| Read S Myrnao Ca Sites Default Files Related Documents Transforming 20long Term 20care 20to 20keep 20residents 20 Pdf |

Cells Free Full Text Inducible Nitric Oxide Regulates Brush Border Membrane Na Glucose Co Transport But Not Na H Exchange Via P38 Map Kinase In Intestinal Epithelial Cells Html
| Title: Cells Free Full Text Inducible Nitric Oxide Regulates Brush Border Membrane Na Glucose Co Transport But Not Na H Exchange Via P38 Map Kinase In Intestinal Epithelial Cells Html |
| Format: PDF |
| Number of Pages: 322 pages 4 Main Regulatory Functions Of Cno |
| Publication Date: June 2017 |
| File Size: 2.6mb |
| Read Cells Free Full Text Inducible Nitric Oxide Regulates Brush Border Membrane Na Glucose Co Transport But Not Na H Exchange Via P38 Map Kinase In Intestinal Epithelial Cells Html |

Nutrients Free Full Text Mulberry Extract Attenuates Endothelial Dysfunction Through The Regulation Of Uncoupling Endothelial Nitric Oxide Synthase In High Fat Diet Rats Html
| Title: Nutrients Free Full Text Mulberry Extract Attenuates Endothelial Dysfunction Through The Regulation Of Uncoupling Endothelial Nitric Oxide Synthase In High Fat Diet Rats Html |
| Format: eBook |
| Number of Pages: 321 pages 4 Main Regulatory Functions Of Cno |
| Publication Date: May 2020 |
| File Size: 1.6mb |
| Read Nutrients Free Full Text Mulberry Extract Attenuates Endothelial Dysfunction Through The Regulation Of Uncoupling Endothelial Nitric Oxide Synthase In High Fat Diet Rats Html |
This framework assumes that the CNECNO is responsible for nursing activities throughout the organization and reports directly to the Chief Executive Officer or Medical Officer of HealthSenior Management Team as a senior member of executivelevel decision- -making management. A member of the Joint Chiefs of Staff the CNO is the principal naval adviser to the President and to the Secretary of the Navy on the conduct of war and is the principal adviser and naval. 104 Describes the Colleges four key regulatory functions reflective of the Colleges role practice standards quality assurance entry to practice enforcement.
Here is all you have to to read about 4 main regulatory functions of cno This framework assumes that the CNECNO is responsible for nursing activities throughout the organization and reports directly to the Chief Executive Officer or Medical Officer of HealthSenior Management Team as a senior member of executivelevel decision- -making management. The College develops and implements policies and changes to its nursing legislation with the goal of protecting the public interest through the regulation of nursing practice. The CNO The CNO sets the standards for carrying out the practice of Nursing in a manner that protects the public interest Members of the College are responsible for. The financial landscape and the implications for nursing nurse leader nutrients free full text mulberry extract attenuates endothelial dysfunction through the regulation of uncoupling endothelial nitric oxide synthase in high fat diet rats html cells free full text inducible nitric oxide regulates brush border membrane na glucose co transport but not na h exchange via p38 map kinase in intestinal epithelial cells html brs3 neurons in the mouse dorsomedial hypothalamus regulate body temperature energy expenditure and heart rate but not food intake nature neuroscience nutrients free full text mulberry extract attenuates endothelial dysfunction through the regulation of uncoupling endothelial nitric oxide synthase in high fat diet rats html microglia modulate stable wakefulness via the thalamic reticular nucleus in mice nature munications The influence and expertise of a CNO often results in invitations to serve on community boards and professional organizations chair committees or serve as a spokesperson.
No comments:
Post a Comment